From Blurred Vision to Restored Vision

A Real-Life Journey of Recovery Through Early Diagnosis and Expert Retinal Care
The Challenge: Initial Presentation
A patient with long-standing diabetes and hypertension presented to Tulip Mediworld with progressive blurring of vision, affecting daily activities and raising concerns about possible vision loss.
Many patients with diabetes may not notice early changes in vision. However, uncontrolled diabetes and high blood pressure can silently damage the retina, leading to serious complications if not treated in time.


The Approach: Clinical Assessment
At the Tulip Mediworld Ophthalmology Department, the patient underwent a comprehensive eye evaluation including:
- Detailed retinal examination
- Advanced retinal imaging (OCT)
- Fundus photography and clinical assessment by the retinal team
These investigations helped doctors carefully assess the extent of retinal damage and determine the most appropriate treatment plan.
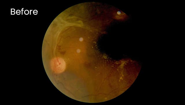
Diagnostic Imaging & Early Diagnosis:
The evaluation confirmed Diabetic Retinopathy, a condition caused by damage to the small blood vessels of the retina due to prolonged uncontrolled diabetes.
In such cases, uncontrolled diabetes and hypertension can lead to retinal complications such as:
- Retinal haemorrhage
- Hard exudates
- Cotton wool spots
- Visual disturbances
These retinal changes require timely intervention by a retina specialist to prevent further vision deterioration.

The Solution: Intervention & Treatment
Based on the findings, the ophthalmology team initiated advanced retinal treatment at the Tulip Ophthalmology Department to stabilise the condition and prevent further retinal damage.
The treatment approach focused on controlling the retinal changes caused by diabetes and protecting the patient’s vision through timely medical and retinal care.
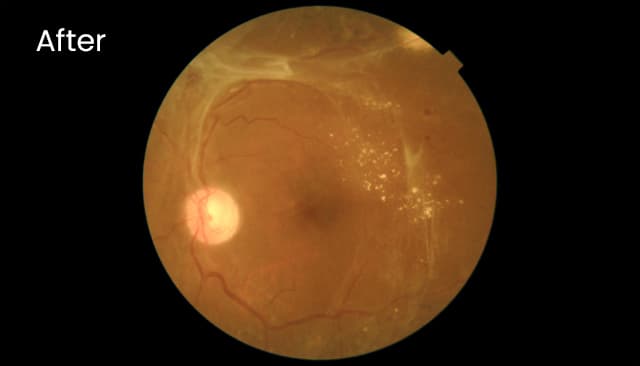
The Outcome: Recovery & Stabilisation
Following treatment and careful monitoring:
- Retinal damage was effectively controlled
- The patient’s vision stabilised
- The risk of further deterioration was significantly reduced
This case highlights the importance of early detection and timely retinal treatment in preventing vision loss caused by diabetes.



